tzeybek
Aktif Üye
- Kayıt
- 9 Mayıs 2013
- Mesaj
- 112
- Tepki
- 181
- Şehir
- izmir
- İsim
- Tamer Zeybek
- Bisiklet
- Cannondale
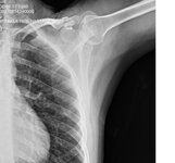
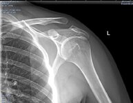
@caglar14 Aynı ameliyatı oldum 3. ay sonunda ip koptu. Çok sinirim bozuldu. Şimdi kemik yukarıda duruyor. Sadece benim mi başıma geliyor derken demek ki olabiliyormuş. Bir prof bana sağlam malzeme kullanmama kaynaklı demişti. Anlattığına göre ton kaldıran ip nasıl kopar mış ? Ya iyi tutturamadılar yada malzeme kötü dedi. Arada bir daha operasyon yaptırsam mı diyorum ama alıştım da. Siz bıraktınız mı öyle.


