Scudo Sports

Kondromalazi patella'dan muzdarip olanlar

Evet bende calf ve uyluk kemiğinin solundaki kasta da gerginlik oluyor. Bu da ayak bileği ve kalçada ağrı yapıyor. Bu nedenle kalça güçlendirici hareketler yapıyorum.

Sizlerde kalça ve ayak bileği ağrısı yok herhalde. Durumu en ciddi olan benim sanırım.
 
Scudo
@Cem Unden hiç birinin aklına gelmedi romatizma bir de ona baktırayım. En erken 31 agustos... spor hekimliği de yapabilir herhalde. adamlar o kadar boş ki,iyi ilgileniyorlar

mesela bilek ağrısı demişsiniz,benim de bileğim ağrıyor ulan acaba bende de sorun mu var modundayım. o sebeple söyledim,herhangi iğneleme amacım değil :)
 
  • Beğen
Tepkiler: Cem Unden
@Cem Unden hocam benim kalçada çok ağrı oluyordu ilk yürümeye başladığımda. Yani bisikleti bıraktıktan sonra bir süre sürekli dinlenerek düzelmesini bekledim, baktım sonuç yok, yürümeye başladım. İlk başlarda tam kalçanın dış tarafındaki çukur kısımda ağrı oluyordu yürüdükten sonra, özellikle bacağı yana doğru açınca. Oradaki kas grubuna sanırım abductor deniyor, onlar zayıf kalmış yürümeye yürümeye. Ben ofiste masabaşı iş yapıyorum, oturmaktan da zayıflamış. Şimdi günde en az 2 km yürüyorum, haftasonları falan mutlaka çıkıp 4-5 km yürürüm. Yürümek aynı zamanda eklemi de çalıştırdığı için kıkırdak için de faydalı. Sizin hayat nasıl geçiyor? Hareketli mi yoksa genelde sedanter mi?
 
@Ender A. Sedanter. Ben kalça kuvvetlendirici hareketler yapıyorum .

Hip bridge vs. Bu aralar bayağı iyi bacaklarım Allaha şükür. Sizler sayesinde. Genelde omurga güçlendirici hareketleride ekliyorum. Düzelecek ama pek bisiklete binmem bundan sonra herhalde
 
  • Beğen
Tepkiler: Hakan Beşikçi
@Onur Ali İmren Yok, kıtlama yok. Dizlerimde var kıtlama.

@Cem Unden Hocam bence hemen yürüyüşlere başlayın. Bence herhangi bir kalça egzersizi yürüyüş kadar etkili olmayabilir çünkü belli kas grupları fazla çalışırken bazıları hiç çalışmıyor egzersizlerde. Ben de yapıyordum egzersiz, side lying leg lift dedikleri egzersizi yapıyordum bir ara ama çok zorladığın zaman it band'da daha fazla gerginlik yaratabilir diye düşünerek bıraktım. Yürüyüş tüm kasları dengeli bir şekilde kullanmayı sağlıyor bence. İnsanın en doğal hareketi yürümek, bence başka hiçbir egzersize gerek yok.

Bu arada sizde osteoartrit de var mı? Bende biraz başladı, dizimin iç tarafında (yani dizlerin içe bakan tarafında) iğne batması şeklinde anlık ağrı oluyor. Mesela bu, biraz önce bahsettiğim egzersizi yaparken daha çok oluyordu çünkü o harekette dizin iç tarafına baskı oluşuyor. Çok rahatsız etmiyor şimdilik ama giderek kıkırdak kaybı artıyor sonuç olarak. Yıllar geçtikçe baya problem olacak herhalde. Şu yumurta kabuğu zarı etkili olur umarım.
 
@Ender A. Osteoartrit olmazsa olmazı zaten var tabii. Yürüyüşe gelirsek izmirde havalar felaket. Yürümek bile sorun. Bende yürürken bile sorun oluyor. Bacak sola çekiyor hep iyice kuvvetlenip öyle başlamalı
 
Yaptığım hareketler

İlk iki hafta
Wall sit , high kicks , vmo kuvvetlendirme

Bu hafta
Vmo kuvvetlendirme , it band esnetme , cross body knee , leg raise , hip bridge , side lunge . Ağrılar oldukça zencefil. İki gündür kırkkilit otu kürüne başladım. İlaç , ağrı kesici yok.

Sonuç : ağrılar yüzde seksen doksan azaldı. Bütün omurgayı kuvvetlendirici hareketlere önem vermek lazım .

Ama bisiklet hala hayal
 
CP ile mücadele grubu :) herkese selam.

Patella kondromalezi : Sol diz grade 1, sağ diz grade2/3 .
2Spor hekimi, 3ortopedist ve 1kyropraktorun ve 1fizik tedavicinin MR lı teshisleri ardından anladığım bu sorunun tam bir ilacı ve kesin bir tedavisi yok, en azından bisiklete donmek için çünkü kıkırdak geri gelmiyor!
 
  • Beğen
Tepkiler: Cem Unden
@berk d. Karyopraktor'un faydası oldu mu genel omurga açısından . Gitmek istiyorum. Omurgaya bi ayar çeksin
 
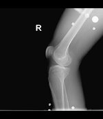
bugün baltalimanındaki spor hekimine gittim canan hanım mr ve röntgen istedi, röntgeni çektirdim mr ıda çektircem sonra gidicem bakalım ama dizler pek güzel durmuyor :)

diz1.jpg diz2.jpg diz3.jpg

diz4.jpg
 
  • Beğen
Tepkiler: Cem Unden
@Cem Unden Kyropraktor ile çok faydalı bir gorusme oldu teorik açıdan, bana ne oldugunu aslında onun sayesınde ogrendim, ancak bahsettiği tedavi sureci çok uzundu, oldukca pahalıydı ve amacı agrılarımı azaltmaktı, ki bende kendi yontemlerimle agrıları azalttım. Ne zaman ki bir total replacement gerekir o zaman gitsem daha iyi diye düşünüyorum.

Benim CP sebeplerim kas dengesizliği, aşırı yüklenme ve ısınma esneme yetersizliği.
Ne o supplementlere inanıyorum ne de prp ye, bana bir faydaları varsa da o kadar az ki zararları gozume batar haldeler.

Agrılarımı azaltan tedavi yontemim ise hergün yuruyus, haftada 2 bacak, bel ve sırt kasları antremanı, 1 saatten fazla hareketsiz durmamak, zencefil ve kusburnu cayları, ve tabiki mutsuzlugumu engellemek için 10 dk da olsa bisikletle bir işimi halletmek. Bu işin motivasyon kısmıda cok onemli.
 
Geri