Onur Ali İmren
Forum Bağımlısı
- Kayıt
- 25 Ekim 2012
- Mesaj
- 999
- Tepki
- 765
- Şehir
- İstanbul
- Bisiklet
- Kron
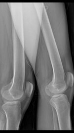
@Cem Unden işte hocam biz bunları bilmeden atlıyoruz. Ben aynı zamanda koşuyorum. Ve dediğim gbi bisiklet olmadığı zaman koşu ile rahatladım. Bu nedenle koşuyu bırakmak istemiyorum. Derecelerimi geliştrdim,çok şey okudum öğrendim. Bisiklet artık muamma geliyor bana. Aynı şeyi ileri yaşlarda yaşamak değil düşünmek dahi istemiyorum. Sevdiğim bir şeyin beni yıpratmasına göz yummak istemem. en azından bisiklet için bu böyle. Zaten ülkede biiskletin durumu piyasası belli.
Koşu,boks,taekwondo ve yüzme ile devam. Zaten ne başka antrenmana gücüm,zamanım,param var.
Koşu,boks,taekwondo ve yüzme ile devam. Zaten ne başka antrenmana gücüm,zamanım,param var.



